Quiz
-
Quiz ECG : troubles du rythme et de la conduction
Ce quiz est proposé par le Dr Van Tung Bui, Hôpital Simone Veil, Eaubonne -
Quiz sur l'embolie pulmonaire
Ce quiz est proposé par Jean-Bernard Pausé, infirmier au CHU de la Réunion -
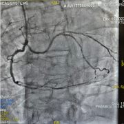
Quiz Hémodynamique
Réalisé par Cécile Balere et Laetitia Pedrico, Clinique Pasteur, Toulouse -
Quiz d'échographie cardiaque
Ce quiz provient d'Amandine Mailliet, infirmière, GHICL Saint Philibert, Lomme -
Quiz Rôle des auxiliaires médicaux en rythmologie interventionnelle
Ce quiz a été élaboré par Maryse Cussonneau, infirmière au Centre Hospitalier de Saint Brieuc -
Quiz Rôle des auxiliaires médicaux en rythmologie interventionnelle
Ce quiz est proposé par Carole Mette, infirmière au Centre Cardiologique du Nord, Saint Denis -
Quiz Réglementation en rythmologie interventionnelle
Ce quiz est proposé par Thomas Saidi, Infirmier au CHU Pitié Salpétrière, Paris -
Quiz sur la télésurveillance de prothèses rythmiques
Ce quiz a été élaboré par Fabienne Binet, infirmière, Clinique Oréliance, Saran -
Quiz Hémodynamique
Ce quiz est proposé par Fanny Villanova, GHEF, Jossigny -
Quiz Insuffisance cardiaque
Ce quiz est proposé par Thibaut Soler, Infirmier, Centre Hospitalier Henri Duffaut, Avignon -
Quiz Insuffisance cardiaque : physiologie, diagnostic, prise en charge
Proposé par Elodie Huet, CHRU Nancy